仅毫米级的肿瘤,为何她的视力几乎丧失? 螺蛳壳里做道场,毫厘之间精准“拆弹”

橙柿互动 · 都市快报 记者 张慧丽 通讯员 包单霖
2026-01-21 14:17:13

三年多以前,38岁的李女士莫名其妙地开始看不清东西,她的右眼从最初的视物模糊,逐步发展至仅能感知眼前手动——在她的右眼前晃动手掌,也只是一个模糊的影子。后来,她辗转于医院之间,由于诊断不明,经过多次治疗,情况始终不见好转。持续恶化的视力将李女士笼罩在彻底失明的恐惧中。

上个月,李女士来到浙江省眼科医院(温州医科大学附属眼视光医院)杭州院区,通过系统而精准的检查,她的病因终于被找到。

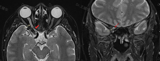
“眼眶增强磁共振发现,患者的右眼视神经管内软组织占位,视神经受压并伴有水肿。” 眼眶眼肿瘤/眼鼻相关专科王耀华副主任医师说,一颗深藏于“眼眶禁区”的视神经管肿瘤,正是窃取李女士光明的“元凶”。

(患者术前检查——红色箭头:视神经管内肿瘤,黄色虚线箭头:受压的视神经)

为何称其为“眼眶禁区”?肿瘤位于眶尖区更靠后的视神经管内,视神经管是眼眶与颅脑交界处的骨性通道,被视神经鞘膜包绕的视神经穿行其中,几乎没有多余空间,且肿瘤与视神经及视神经鞘膜紧密粘连。“就像一根手机充电线,外皮是视神经鞘膜,内部金属导丝是视神经,肿瘤长在‘外皮’里,直接压迫‘金属导丝’。”王耀华解释,若进行手术,术中稍有不慎就可能造成视神经二次损伤、视力完全丧失,甚至引发颅内损伤或感染。因此,该区域曾被视为手术“禁区”。

然而,由于肿瘤长期压迫,李女士的右眼视神经严重萎缩,视力仅存眼前手动伴全视野缺损,若不尽快手术干预,视神经功能还将被肿瘤不可逆地继续侵蚀下去。

如何安全、完整地摘除这颗紧贴视神经的“定时炸弹”,对王耀华团队而言是极大的考验。经周密术前规划,团队决定采用国内领先的内镜经鼻微创技术——该技术无需面部或眼部切口,而是通过自然鼻腔通道,在高清内镜放大视野下直达病灶,具有创伤小、精准度高、恢复快的显著优势。

手术在紧张而有序的氛围中展开。正如术前研判,肿瘤位于视神经管的视神经鞘膜内,与周围组织粘连致密。团队凭借娴熟的内镜操作技巧,先行常规的“内镜下经鼻视神经管减压术”,完整暴露管内段视神经。然后精细切开视神经鞘膜,暴露位于视神经鞘膜下的肿瘤,随后再逐步将肿瘤从视神经纤维束上剥离,整个分离肿瘤的操作空间几乎是毫米级。

经过3小时的高精度奋战,肿瘤完整摘除。术毕,李女士的瞳孔大小与术前一致,标志着视神经功能得到最大程度的保护。

(摘除视神经管内海绵状血管瘤后,患者瞳孔大小正常)

由于生长的位置刁钻,摘除的肿瘤大小仅3X8mm,李女士的视神经却萎缩得非常严重。“肿瘤大小偏小也为早期发现、明确诊断增加了不少难度。虽说是‘右眼渐进性视力下降3年’,但肿瘤实际生长时间一定不止3年。”

王耀华表示,术后,李女士的视力有望获得改善,但肿瘤压迫时间太久,想要恢复到当初是不可能了。“具体能恢复到什么程度,我们期待术后3个月恢复期过去,能得到一个好的结果。”


责任编辑:金晶
审核:徐芳 冯云浓
热点新闻
热门评论

橙柿互动,互动城市

打开App