肺全“白”了!杭州大爷大冬天得“热射病”,医生紧急提醒:去这里要小心

橙柿互动 · 都市快报 记者 吴双 通讯员 刘琪
2025-01-15 15:26:14

杭州人韩爷爷今年84岁。每年一到冬天,他就喜欢到洗浴中心蒸个桑拿澡,一待就是一整天。

韩爷爷年逾八旬,且有高血压,家人也曾劝阻过他少去蒸桑拿。但韩爷爷的对蒸桑拿情有独钟,怎么劝都不肯放弃这一爱好,无奈的家人也就不再阻拦了,只能一遍遍提醒他“适可而止”。


蒸个桑拿,肺全“白”了

2024年12月底的一天,韩爷爷像往常一样吃完午饭后就去了洗浴中心。刚进去没多久,韩爷爷就突然昏倒,口吐白沫,连中午吃的食物都吐了出来。周围的人见状,立即拨打了120,将韩爷爷送往了医院。

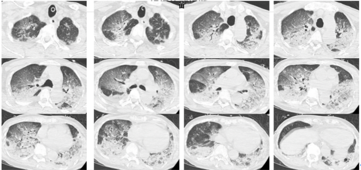
医生接诊后一度怀疑韩爷爷有肺栓塞或脑梗。此时的韩爷爷意识不清,血压下降、心率也降到30次/分,氧饱和度在80%~90%之间,急查血气显示pH仅有7.094,二氧化碳分压高达77.4mmHg,有明显的II型呼衰和呼吸性酸中毒。医生立即启动抢救程序,韩爷爷插管后被送到CT室进行了头颅、胸部CT和肺血管CTA检查。‍‍检查结果显示,韩爷爷的两肺全“白”了。

当地医院立即联系了杭州市第一人民医院呼吸内科主任医师沈凌进行会诊,最终韩爷爷被确诊为热射病诱发的肺水肿。

过了四天,韩爷爷的病情基本稳定,再次进行CT检查后发现有明显改善。入院第六天,韩爷爷的呼吸机撤机,气管插管拔除,从ICU转入呼吸科普通病房。入院第10天,第三次CT检查显示,韩爷爷的双肺已基本正常。


中暑并非夏季的“专属病”

冬天怎么会得热射病?沈凌分析道,韩爷爷入院时降钙素原有明显增高,而非感染性疾病能导致降钙素原升高的有十几种,没有一种能和患者的情况对得上号,反而与热射病症状相符。原来,热射病会导致降钙素原(PCT)增高,主要与机体在热射病状态下出现的应激反应、炎症反应以及器官功能损伤等因素相关。

韩爷爷在桑拿房这种高温高湿的特殊环境中,皮肤散热变得极为困难,汗液无法正常排出,导致体内热量大量积聚。即便在冬天,也完全有可能出现类似夏天热射病的症状,尤其是有基础疾病的老年人。

热射病发生后,脱水是常见的后果。脱水会导致患者血压下降,更严重的是,它还会对心肌造成损害,心功能会受到极大影响。在这种情况下,很容易出现心功能短暂的急性心衰。心脏的泵血功能一旦出现问题,大量血液就会淤积在肺部血管,进而引发肺水肿。


冬季泡澡要牢记这三点

沈凌提醒,冬季泡澡也需小心。很多人喜欢泡热水澡来放松身心、驱散寒意,殊不知,一冷一热很容易导致“热休克”。冬季泡澡时,若水温过高或浴室环境过热,会导致身体出汗过多、血管扩张、血压下降,从而引起休克。尤其是患有动脉硬化、糖尿病、高血压等疾病的人以及高龄老人,更需注意。

为了防止类似事件的发生,沈凌建议,在冬季泡澡时牢记三点:一是消除环境间的温差,提前预热身体;二是饭后、酒后不要立即洗澡;三是寒冬洗澡前尽可能告知身边人,以便在发生意外时及时救助。

此外,沈凌还提到,淋浴并不一定比泡澡更安全。长时间站立在花洒底下,血液容易流向两条腿,导致回心血量减少,容易晕厥。因此,在淋浴时也需注意身体状况,避免发生意外。



责任编辑:俞茜茜
审核:徐芳 冯云浓
热点新闻
热门评论

橙柿互动,互动城市

打开App