68岁大伯肠穿孔,竟是一根3厘米鱼刺“闯的祸”

橙柿互动 · 都市快报 记者 吴双 通讯员 陈岩明 吴煜
2024-10-31 11:53:17

10月27日早晨,68岁的陈大伯因难以忍受的腹痛,急匆匆地走进了浙江省中医院急诊科。他捂着肚子,脸色苍白,痛苦地对医生说:“疼得厉害,特别是肚脐周围和右边,按下去更是疼得不得了。”

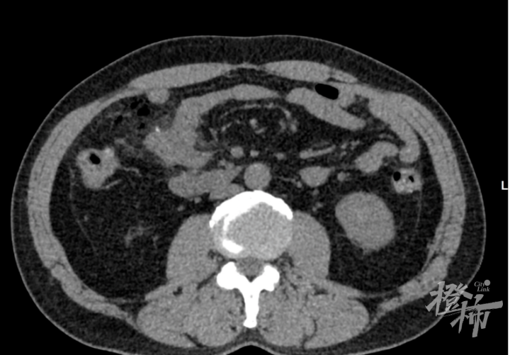
接诊的急诊医学科杨洞洞医生见状,立即为陈大伯安排了全面的检查,包括血常规、急诊生化及腹部CT。与此同时,医学影像科的沈家豪想到此前导师许茂盛教授分析过的病例,综合陈大伯的病史,初步推测可能是阑尾炎或胰腺炎。然而,CT检查结果却显示,胰腺和阑尾均无明显异常,这让医生们陷入了困惑。

1730347005995.png

陈大伯的CT检查图像(医院供图)

然而,经验丰富的医生们并没有放弃,他们进一步观察CT图像,终于发现了线索:陈大伯右中腹部肠管内出现了一处致密影,周围肠系膜间隙还有游离积气,这些征象与肠穿孔高度吻合。考虑到肠管内的致密影可能是手术改变或其他异物,医生们进一步询问了陈大伯前一晚的饮食情况。

3厘米长的大鱼刺穿破肠壁

“昨天晚上吃了什么?有没有吃鱼?”医生的询问让陈大伯突然想起了什么,他犹豫地说:“吃了,但鱼刺我都吐出来了啊。”这句话引起了医生的警觉,他们结合检查报告,怀疑陈大伯可能是误吞了鱼刺等尖锐异物,导致了肠穿孔。

为证实这一推测,医院外科团队迅速为陈大伯安排了紧急腹腔镜手术。手术中,徐浩副主任医师在陈大伯的肠管内发现了一根长达3厘米、粗大坚硬的鱼刺,它已经穿破了肠壁,造成了严重的损伤。徐医生小心翼翼地取出了鱼刺,并修复了受损的肠壁。手术过程顺利,陈大伯术后恢复良好。

1730346976719.png

术中取出的鱼刺(医院供图)

误吞鱼刺而不自知

像陈大伯这样误吞鱼刺还不自知的人不少。浙江省中医院钱塘院区消化内科曾旭燕护士长提到,钱塘院区位于下沙高教园区,大学生多,经常有学生晚上吃夜宵时不小心吞了异物来医院。

“最近有个学生,夜宵吃完鱼刺卡在喉咙里没重视,过了大约一个礼拜,觉得喉咙一直隐隐作痛才来看。结果检查发现鱼刺已经把食管都穿破了。好在送到医院后,在麻醉下用内镜小心地把鱼刺取出来了,免去了一场大手术。”

浙江省中医院耳鼻喉科李斌医生特别提醒,老年人吞咽功能较差,他们更容易发生此类意外。面对鱼刺卡喉的情况,坊间流传的喝醋、吞饭等“土方法”并不科学,反而可能加重伤害。

李斌建议,鱼刺卡喉时应立刻停止进食,避免采取喝醋、大口吃饭、吞菜等方法。如果鱼刺较小,可以尝试轻轻咳嗽看是否能咳出;若无效,应立即就医。医生会根据鱼刺的大小和卡住的位置采取不同的处理方式,确保患者的安全。


责任编辑:俞茜茜
审核:徐芳 冯云浓
热点新闻
热门评论

橙柿互动,互动城市

打开App