“真没想到,这么快就做好了!还不怎么痛!我想总要个把小时吧”。做完甲状腺结节消融术者赵大爷惊讶的说。
“做完了,手术很顺利,结节烧完了,你现在感觉怎么样?”手术医生超声科主任蔡珍玉问。
“感觉良好啊!感谢感谢!我都可以自己走回病房。”赵大爷说。
望着在医务人员陪同下,坐着轮椅的赵大爷平稳远去的背影,蔡主任很是欣慰。
赵大爷今年76岁,3年前因肠癌做过2次大手术。以后每年复查,所幸的是恢复得很好。但去年12月体检时,超声发现甲状腺有一个5mm×7mm大小的结节。这对于赵大爷来说犹如晴天霹雳,紧张!猜疑!是不是肿瘤又复发了?是不是又要开刀了?对有2次大手术经历的赵大爷,一想起开刀就后怕。怎么办呢?赵大爷想起了住院手术期间,为自己做超声的那位态度又好、水平又高的蔡医师,于是来到浙江中医药大学附属第二医院(浙江省新华医院),找到超声科蔡珍玉主任医师。
蔡主任回顾赵大爷的病史,并为其做了仔细的甲状腺超声检查后说:“您这个甲状腺结节虽然有一点点形态不舒服,但是很小,可以先做细针活检,明确良恶性再考虑方案,然后也可以考虑做甲状腺结节的热消融治疗,不一定要开刀处理。”
“可以不开刀!”赵大爷顿时兴奋起来,“那你直接帮我做掉吧。”蔡主任在反复强调活检的重要性后,赵大爷在还是坚持要求直接做掉。于是就发生了前面的一幕。
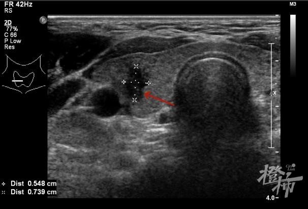
超声检查提示一个5.48mm×7.39mm左右大小的结节 医院供图
甲状腺结节热消融术,创伤很小,医学上称之为:微创手术。简单的说就是在局部麻醉状态下,超声引导将消融针插入甲状腺结节内,通过热效应将结节“烧死”,然后由身体慢慢吸收,达到与外科手术相似的治疗效果。可以形象比喻成:肉烧熟了可以吃,甲状腺结节烧死(烧熟)了,不会再生长,同时逐渐被机体吸收(吃掉)。由于这种术式创伤小,可以当天入院当天做,做完当天就能出院。
与传统的外科手术相比,具有手术不留疤痕、术后不需要终身服药、不需要全身麻醉、手术时间短等优势。
哪些甲状腺结节适合做消融术?
1. 良性结节,>15mm,单发或多发结节;有进行性增大趋势更适合
2.微小癌,≤10mm,单发,超声或CT没有明显淋巴结转移征象
3.主观不愿意开刀手术的患者

送10个免费甲状腺超声检测体验名额
还送专家号
为关爱甲状腺结节患者,浙江省新华医院推出春季关爱甲状腺义诊活动。为橙友准备了10个免费甲状腺超声检测体验名额,还送超声医学科蔡珍玉和范小明专家义诊号各10个。
义诊时间:
2月27-28日(周四-周五)上午8:00-11:30
3月6-7日(周四-周五)上午8:00-11:30
感兴趣的橙友,点击下方“去参加”按钮,按规定填写相关报名信息即可。报名截至:2月25日17:00。入选者将收到短信通知,告知具体就诊流程。